Skip to main content

Stiffness and ache about 4 months after plastic surgery of the hip

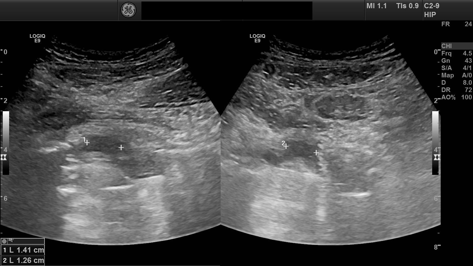
Patient who is referring to Specialist Center due to stiffness and ache about 4 months after plastic surgery of the hip. Plain X-rays are clear.

Niklas Norlén Ultrasound Specialist finds with ultrasound a gangion located anterior to the hip joint. In dynamic examination, an obstruction appears that explains the stiffness of the hip.

It is a great advantage that we can dynamically examine the patient simultaneously with the ultrasound to detect pathologies that can explain the symptoms the patient is looking for. We can show and explain instantly to the patient what causes him trouble.

Dynamic plastic surgery of the hip

Hip plastic gangion

Hip plastic gangion

trice logo

Kontaktperson
Trice Imaging Försäljning
Johanna Wollert Melin
0702-34 60 41
Den här e-postadressen skyddas mot spambots. Du måste tillåta JavaScript för att se den.

canon medical logo

Kontaktperson
Canon Medical Ultraljud
Anders Hildebrand
070-295 99 72

ge healthcare logo

Kontaktperson
GE Healthcare
Emma Jonsson
070-108 04 08
Den här e-postadressen skyddas mot spambots. Du måste tillåta JavaScript för att se den.