Skip to main content

Patient case Gluteal pain

A patient seeking for pain right gluteal area.

The patient had pain when running. A sharp pain came when the patient was running when we examine the patient, where the patient week, and hade pain when abduction and extension of the leg. 

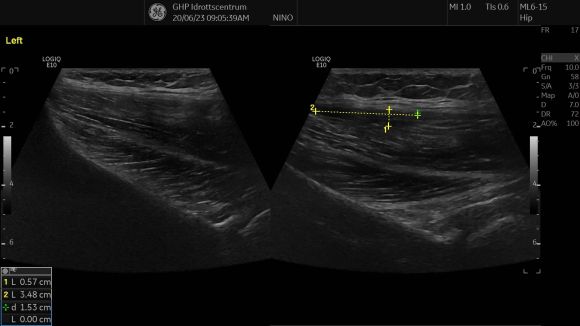
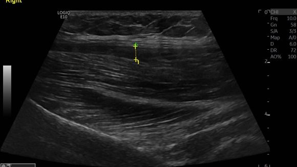
We did an ultrasound and detected a partial tear in the upper proximal part of the fascia to the gluteus medius. You can see the different echogenicity between the right and left pictures.  The hypoechoic area and the thickness of the fascia show the partial tear. 

Don’t forget that partial tear can also be found in the upper proximal gluteal are to the ilium and not always in the trochanter area.

trice logo

Kontaktperson
Trice Imaging Försäljning
Johanna Wollert Melin
0702-34 60 41
Den här e-postadressen skyddas mot spambots. Du måste tillåta JavaScript för att se den.

canon medical logo

Kontaktperson
Canon Medical Ultraljud
Anders Hildebrand
070-295 99 72

ge healthcare logo

Kontaktperson
GE Healthcare
Emma Jonsson
070-108 04 08
Den här e-postadressen skyddas mot spambots. Du måste tillåta JavaScript för att se den.