Skip to main content

A patient was looking for pain in the elbow laterally outside.

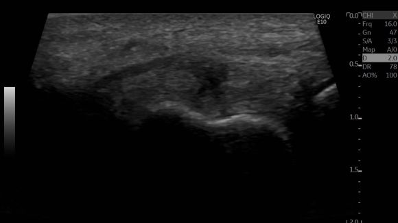
The patient had trouble for several months. Conservative treatment has not produced a positive effect. The patient comes for diagnostics and treatment. An ultrasound examination shows a tendinosis in the extensor tendon with Doppler grade 2. We did an ultrasound fenestration treatment with a 22 G needle in this case.

Housner JA et al. J Ultrasound Med 2009; 28:1187

Elbow laterally outside

trice logo

Kontaktperson
Trice Imaging Försäljning
Johanna Wollert Melin
0702-34 60 41
Den här e-postadressen skyddas mot spambots. Du måste tillåta JavaScript för att se den.

canon medical logo

Kontaktperson
Canon Medical Ultraljud
Anders Hildebrand
070-295 99 72

ge healthcare logo

Kontaktperson
GE Healthcare
Emma Jonsson
070-108 04 08
Den här e-postadressen skyddas mot spambots. Du måste tillåta JavaScript för att se den.